据报道,法国足球联赛即将与麦当劳签署未来三个赛季的巨额赞助协议。 据《队报》和RMC Sp...
警方从Damansara Damai的Idaman公寓收集了228个居民的DNA样本,作为寻找杀害6...
消息人士称,因非法持有6支枪支而被捕的以色列男子已被警方保护性拘留。 这是为了防止任何不幸...
金沙萨:一名美国人因涉嫌政变在刚果民主共和国受审,他的律师周二告诉法庭,他在被捕期间遭受了“酷刑”。...
吉隆坡:反对党议员坚持认为,将马来西亚机场控股有限公司(MAHB 的股份出售给外国实体将威胁国家安全...
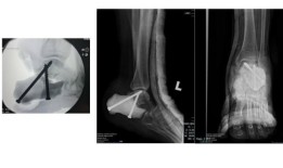
哥打京那巴卢:马来西亚首个3D打印模塑跟骨(跟骨 替代物,由伊丽莎白女王医院的肿瘤学家团队在一名年轻...
卡塔尔多哈:保护和社会康复中心(AMAN 参加了将于5月9日至5月18日在多哈展览和会议中心(DEC...
雅典(路透社 ——英国首相苏纳克取消了原定与希腊首相米佐塔基斯的会晤,原因是两国在大英博物馆收藏的2...
目前,小型旅游团的趋势不仅把焦点放在了小型货车上,还引发了为国际游客创造主要旅游产品的建议。...
德国,d 塞尔多夫:周一,马克西米利安·韦伯的乌龙球足以让法国队在2024年欧洲杯的首场比...